症例集
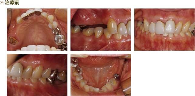
CASE4 歯周外科(歯冠長延長術)


治療前・治療後の写真です。 歯周外科(歯冠長延長術)を全顎的に行い、レジン前装鋳造冠にて修復しました。


治療後

CASE3 審美歯科(オールセラミッククラウン)

治療前・治療後の写真です。 歯周基本治療の後、歯肉のバランスを整えるため左上中切歯のみ歯周外科を行いオールセラミッククラウンで修復しました。

CASE2 インプラント・歯周治療・セラミッククラウンによる全顎的な治療

case-02-01
59歳・女性の患者様です。 主訴は他院にて入れ歯を入れられたものの馴染めなく、見た目も不満(金属が見える)ということでご友人のご紹介で当院を受診されました。 口腔内所見では歯間、歯頚部にプラークがみられ、出血しやすく歯ぐきが腫れた状態でした。 歯周基本治療の後、全顎的に治療させていただきました。

case-02-01
治療前のレントゲン写真です。

case-02-01
治療後です。左下、右上はインプラント治療を行いました。自分の歯で噛んでいた時のようにしっかりと奥歯で噛むことができるようになりました。天然歯はなるべく削ることなく治療しました。プラークコントロールも上手にされ、歯肉は健康な状態を保っています。

case-02-01
治療後のレントゲン写真です。

CASE1 ホワイトニング症例

一歯症例(右上中切歯)
20代 男性 約10年前、外傷により失活

^