ブログ
国際歯科大会@パシフィコ横浜

こんにちは😀院長の落合友香です。

約1ヶ月前のことですが、スタッフと横浜であった国際歯科大会に参加してきました✨

4年に一度、歯科のいろんな専門分野が集まる学会なのでいつもとても楽しみにしています。

約10か所の大小それぞれの会場で歯科医師・歯科衛生士・歯科技工士による発表が行われ自分の聴きたいものを予めチェックして参加しました。

今年はやはり阪大の天野教授の講演への参加者が多く、会場に入りきれないほどでモニターのみの別会場が準備されました。

私が聴きたかったのは現在受講中の5D(ファイブディー)の先生方の講演とエンド(根管治療)の講演です。

なかなか多くの専門分野の学会・講習会・勉強会などに参加するのは難しいですが、この学会ではそれぞれの専門分野の現在の最先端の話が聞けるのでとても勉強になりました。

また4年後を楽しみに、レベルアップしていきたいと思いました☺️

学会後はかつての同僚達と楽しい時間を過ごしました🎵 

次の日はみんなで江ノ電に乗って鎌倉へ。私は初鎌倉でした☺️

新しいドクターが加わりました

こんにちは。院長の落合友香です。

当院にドクターの梅原先生が加わりました✨

先生は大阪大学歯学部を卒業され3人のお子さんのママでもあります。

とても頼り甲斐のある先生に来ていただいてスタッフ一同とても嬉しく思っています。

よろしくお願いいたします☺️ ✨

 

予測歯科

こんにちは。ご無沙汰しています。院長の落合友香です。

大阪大学歯学部・予防歯科 天野教授の講義を先週末受講しました。

その中で

①虫歯になる子は2歳半頃までに虫歯菌が口腔内にあるかどうか。

(主に親からの感染)

②幼少期からの口腔内の細菌層が厚い➡︎細菌ピラミッドを形成

 ➡︎歯周病菌が生きていける環境を形成

③細菌ピラミッドができている子に歯周病菌が18歳頃に感染(P.g.菌)

 ➡︎唾液を介した経口感染

という話がありました。

ということは、

①2歳半頃までに虫歯菌を入れないように

②正しい歯磨きをする習慣をつけること

③18歳以降、細菌検査をして歯周病の原因となるP.g.菌Ⅱ型がいないかを検査すること

 

でお口の中が健康に保たれる基盤ができるということです。

口腔内の細菌層は30歳頃までに確立されその後変わることはないそうです。

生きることは食べること。なるべく細菌に感染しない環境が望ましいですがもしも感染してしまっても細菌検査でリスク判定ができます。それが先生がおっしゃる予測歯科です。

当院では約10年前よりBMLによる細菌検査を実施しています。この講義を聞いてから今まで行っていた4菌種測定法よりP.g.菌の有無および細菌の遺伝子検査が必要なことがわかりました。

今後の検査は

①位相差顕微鏡でのプラークの確認 患者様の口腔内から採ったプラークを位相差顕微鏡で見ます。患者様のスマートフォンでも確認することができます。(無料)

②位相差顕微鏡で確認したプラーク中の細菌の活動性が高い場合、細菌検査をお勧めします。細菌検査の結果からP.g.菌が見つかる可能性があるからです。(自費検査)

 

先日、救急搬送された50代の患者様。

循環器内科の先生から口腔内細菌による敗血症が原因だったため歯科を受診するように言われて来院されました。「死ぬと思った」その原因が口腔内の細菌とは思いもしなかったそうです。

阪大の天野教授の講義でもラットにP.g.菌を注射したところ1週間後に死亡し、解剖すると臓器が真っ黒に変色・萎縮している写真にショックを受けました。

お口の健康は全身の健康と深い関わりがあり、健康に生きて行くために自分のリスクを知って正しい口腔衛生管理をしていくようおすすめします。

 

 

80歳で20本の歯

お久しぶりですみません。

落合友香です。

80歳で20本以上の歯を維持されている患者様が大阪府歯科医師会で表彰されました✨

表彰式の後、クリニックに立ち寄って表彰状を見せてくださいました。

これからもスタッフ一同、患者さま方の健康を小さいお子様からずっと守っていきたいと改めて思いました。

素敵な笑顔、ありがとうございます(^-^)

 

URBAN REGENERATION INSTITUTE

こんにちは。院長の落合友香です。

先日勉強会の先生方とハンガリー・ブタペストでご開業されているURBAN先生の外科コースを受講しました。

ハンガリーは医学・歯学における先進国で今回の先生のクリニックも世界中からドクターが訪れる素晴らしい施設でした。

先生は日本が大好きで週4でお寿司を召し上がるそうです。また歯科用チェアーはモリタ、空調はダイキンと日本LOVEが感じられる素晴らしいオフィスでした。

わからないことはわかるまでみんなで徹底した討論と実習で毎日朝から晩まで充実した3日間でした。

習得した技術が活かせるように日々精進してまいります(^-^)/

 

診療時間が変更になります

お久しぶりです。

院長の落合友香です。

今年の4月1日から診療時間を変更することにいたしました。

午前9時から午後5時まで(金曜日のみ5時30分)となります。

働く女性が仕事と家事を両立できる環境をつくるためです。

患者様にはご不便をおかけするかもしれません。

今以上に診療内容を充実して還元したいと思います。

ご理解の程よろしくお願いいたします。

素敵なママたちへ

素敵なママへ!

あなたのお腹にその小さな命が宿ったその瞬間から

あなたが「与える」ということに

勤しむようになったって知っているよ。

それはささいなことかもしれない。

コーヒーを飲む量を控えたり

アルコールをのむのをやめたり

お刺身を食べるのをやめたり。

もしかしたら夢や希望を

しばしの間諦めた人もいるんじゃないかな。

自分の身体全部をこの新しい変化に捧げ、

気持ちさえも新たな心配事に押し倒され

心もさまざまな痛みに耐えてきた。

誰にも邪魔されず眠ることや自由に過ごす週末さえ

叶わなくなったよね。

犠牲と責任、そして

新たに芽生えた愛の世界へ

踏み出したあなた。

母であることは、大変なのに、人知れず、

けれどとても神聖なもの。

母であることを選んだあなたを

私たちは誇りに思います。

いつも「与え」てくれてありがとう。

 

 

 

デジタルソリューションの歯科臨床

先日大阪市内で開催されたノーベルバイオケア社の『デジタルソリューションの臨床実践
3D診断-Guided Surgery-CADCAM補綴 』というセミナーに参加してきました。

いつもお世話になっている技工士の西村先生と中野先生によるセミナーです。

当院はノーベルバイオケア社のインプラントシステムを用いたインプラント治療を行なっています。

その良いところはCT撮影から診断・手術・補綴と一貫したデジタルを用いた3次元のインプラント補綴治療が可能なところです。

例えばCTを撮影してコンピューター上で最終的な補綴物(クラウン)を設計すると手術の際に必要なガイドが製作でき、それを用いて手術を行なうと理想的な位置にインプラントが埋入でき、最終的に、初めにコンピューター上で設計したクラウン(歯科医師と技工士が設計・製作します)と同じ理想的なものが入るというシステムが出来上がっています。

どんどん時代はすすんでいくのだなということを実感しました。

より低侵襲で予知性の高い治療を患者樣方に提供していきたいと思います。

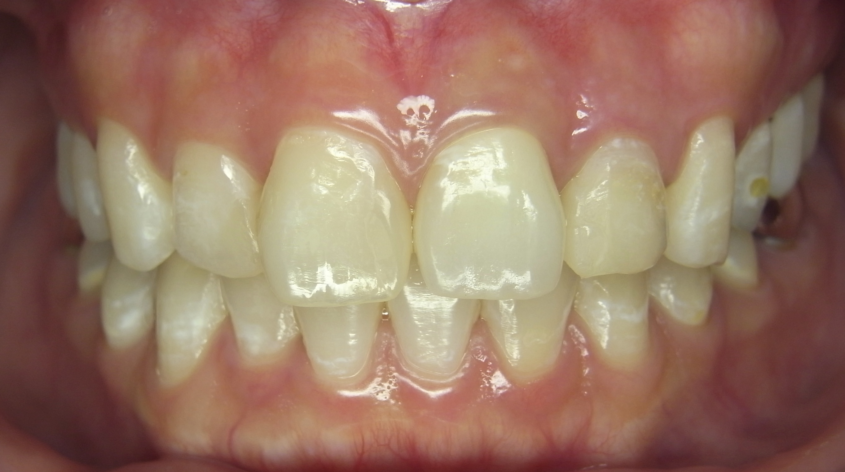
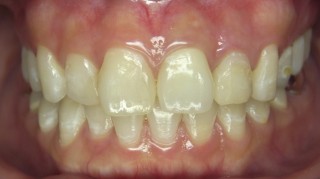
ところで先日当院でセラミック修復された患者さまの口腔内写真です。↓

Exif_JPEG_PICTURE

 

 

どの歯がセラミックかわかりますか?一歯です

正解された方には歯ブラシをプレゼントします✨

締め切りは次回の私のブログまで‼️

 

食育

こんにちは。落合歯科医院の落合友香です。

先日息子を連れて、お友達と一緒に奈良のうめもり寿司学校に行ってきました☺️

4歳の息子はもちろん私も寿司をにぎることは初めてでした。

楽しくみんなでにぎったあとは自分でにぎったお寿司をいただきました。

息子も大人の量のお寿司をぱくりと完食‼️とっても美味しかったです。

とっても良い経験でした✨

11987002_908412535905191_5992919830253383423_n IMG_1116 IMG_1112

マイクロスコープ

大変ご無沙汰しております。院長の落合友香です。

当院にマイクロスコープが入りました(^-^)/

導入のきっかけとなったのはマイクロプラスティックサージェリーというマイクロスコープを用いた歯周形成外科を勉強したことですが、インプラント手術はもちろん、根管治療・歯冠修復治療・歯科衛生士による歯石除去とマイクロスコープを用いて最大20倍に拡大して見ることで今まで見えなかったものが見えるようになり、当院にも取り入れていきたいと強く思いました。

スタッフ一同、技術を磨いてより患者さまに優しい医療を提供できるようにしていきます。

楽しみにしていてくださいね(^-^)/

2015.09.02落合歯科医院¥019

^